TOPIK
Tangkal Virus Corona
-
Situasi perekonomian Indonesia terpukul oleh pandemi virus corona atau Covid-19.
-
Layanan makan warteg gratis selama dua pekan disediakan KSI Cepat Tanggap (ACT) dan Komunitas Warteg Nusantara (Kowantara).
-
Asep (38), Petugas Tempat Pemakaman Umum (TPU) Tegal Alur, Jakarta Barat, mengakui sempat ada rasa khawatir.
-
Tirta rupanya gusar saat mendengar pernyataan Achmad Yurianto yang sempat menuai polemik.
-
Padahal, libur ini bukan liburan melainkan untuk memutus rantai penyebaran virus corona/Covid-19.
-
Pemerintah Provinsi DKI Jakarta sudah menyiapkan skenario jika pasien Covid-19 terus melonjak.
-
Gubernur DKI Jakarta Anies Baswedan cari pendamping untuk hadapi virus corona/Covid-19.
-
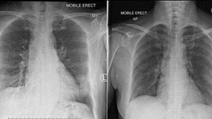
Peneliti mengungkapkan penemuan baru dari paru-paru pasien yang sudah berhasil sembuh.
-
Obat HIV dianggap bisa menyembuhkan atau meredakan gejala yang dialami para pasien virus corona.
-
Fakta bawang merah yang katanya bisa menyedot dan membunuh virus corona.
-
Membuat dalgona coffee, bisa menjadi salah satu alternatif mengisi waktu selama di rumah saja.
-
Meski telah dinyatakan positif terinfeksi virus corona/Covid-19, wanita usia 20 tahun ini tidak mengalami gejala-gejala Covid-19 pada umumnya.
-
Jokowi mengaku kerap mendapat keluhan dari para tukang ojek hingga sopir taksi yang memiliki kredit motor dan mobil.
-
Kami Mohon Maaf Berita Ini Sudah Dihapus Karena Ada Kekeliruan. Hormat kami, Redaksi.
-
Beredar di Grup WhatsApp (WA) video seorang laki-laki pingsan di trotoar dekat double way Universitas Jember (Unej) Jl Kalimantan.
-
Pemerintah berencana untuk melakukan pemeriksaan cepat virus corona/Covid-19 bagi Anggota DPR RI dan anggota keluarganya.
-
Maidar mengaku terpaksa tinggal di dalam bunker untuk menghindari paparan virus mematikan itu.
-
Ternyata ada aturan sebelum menguburkan pasien yang meninggal dunia akibat virus corona/Covid-19.
-
Pandemi virus corona atau Covid-19 juga berdampak besar untuk misi luar angkasa.
-
Dalam video itu terlihat seorang perempuan yang merekam video tersebut terdengar marah-marah karena syuting konten YouTube Ria Ricis.
-
Sebanyak 6.000 alat rapid test virus corona/Covid-19 bakal dikirim ke Provinsi Kalimantan Barat (Kalbar).
-
Wakil Wali Kota Bandung Yana Mulyana umumkan bahwa dirinya Positif Terinfeksi Virus Corona.
-
Awal mula Kota Wuhan China di-lockdown, dituangkan dalam film dokumenter The Lockdown: One Month in Wuhan.
-
Mereka merupakan anggota jemaat dari pasien ke tiga untuk Kepri yang positif corona dan telah meninggal dunia.
-
Ia meninggal dunia dalam tugasnya atau kecelakaan kerja, saat sedang melakukan penyemprotan disinfektan.
-
Sejumlah orang melakukan pengecekan terhadap kondisi kesehatannya lantaran khawatir dengan pandemi virus corona/Covid-19.
-
Berbagai macam pemahaman soal menangkal virus corona atau Covid-19, tersebar di masyarakat.
-
Cegah penyebaran virus corona/Covid-19, kompleks masjid al-Aqsa resmi ditutup, Senin (23/03/2020).
-
Iran menegaskan bahwa negaranya tidak akan pernah menerima bantuan Amerika Serikat (AS) untuk melawan virus corona.
-
Tawaran itu diberikan untuk Indonesia melalui Menhan Prabowo Subianto.