TAG
Tips Mencegah Timbulnya Karang Gigi
-
Bisakah Menghilangkan Karang Gigi Dilakukan dengan Cara Sendiri?
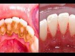
Karang gigi jika dibiarkan maka akan mengganggu penambilan kita. Selain itu, berdasarkan ahli karang gigi juga bisa menyebabkan beberapa penyakit.
Selasa, 11 Agustus 2020 -
Tips Mencegah Timbulnya Karang Gigi dan Cara Menghilangkannya
Selain menimbulkan plak dan karang gigi, kebersihan mulut yang buruk juga dapat menyebabkan bau mulut, kerusakan gigi, dan penyakit gusi (gingivitis).
Senin, 10 Agustus 2020