Sulawesi Utara
Menuju Sulut Maju, Sejahtera dan Berkelanjutan

Kesehatan

Bisakah Menghilangkan Karang Gigi Dilakukan dengan Cara Sendiri?

Karang gigi jika dibiarkan maka akan mengganggu penambilan kita. Selain itu, berdasarkan ahli karang gigi juga bisa menyebabkan beberapa penyakit.

TRIBUNNEWS
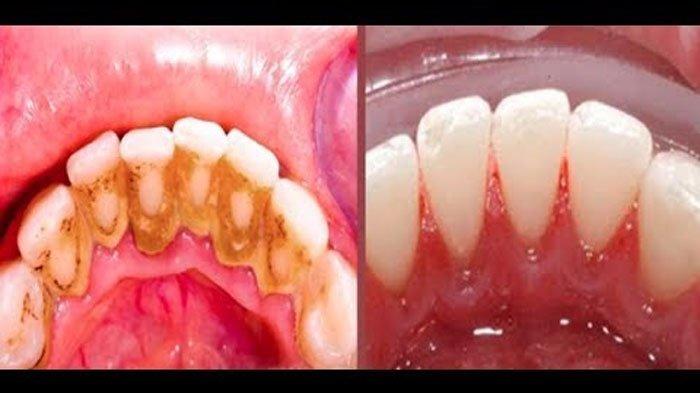
Ilustrasi Karang Gigi 

TRIBUNMANADO.CO.ID - Karang gigi jika dibiarkan maka akan mengganggu penambilan kita.

Selain itu, berdasarkan ahli karang gigi juga bisa menyebabkan beberapa penyakit.

Lantas, bagaimana cara agar bisa meminimalisir risiko karang gigi?

Plak gigi dan karang gigi tidaklah sama.

Plak adalah lapisan lembut dan lengket yang terbentuk di bagian luar gigi dan di sepanjang garis gusi.

Seseorang seringkali dapat mencegah dan mengobati penumpukan plak gigi di rumah.

Jika seseorang tidak mempraktikkan kebersihan gigi dengan baik, plak yang kerap juga disebut sebagai jigong ini bisa berubah menjadi zat keras berwarna kuning kecokelatan yang disebut sebagai karang gigi.

Jadi, karang gigi adalah plak gigi yang mengeras akibat gigi tidak dibersihkan dengan baik.

Saat orang makan, bakteri di mulut memecah karbohidrat dari makanan menjadi asam, yang bercampur dengan sisa partikel makanan dan air liur untuk membuat plak.

Selain menimbulkan plak dan karang gigi, kebersihan mulut yang buruk juga dapat menyebabkan bau mulut, kerusakan gigi, dan penyakit gusi (gingivitis).

Sementara, penelitian terbaru mengungkap kemungkinan adanya hubungan antara penyakit gusi dan kondisi kesehatan lainnya, termasuk pneumonia, demensia, hingga penyakit jantung.

Cara menghilangkan karang gigi yang paling efektif

Melansir Health Line, cara terbaik untuk menghilangkan karang gigi atau kalkulus tidak lain adalah dengan meminta bantuan dokter.

Rasanya sulit untuk merontokan karang gigi yang sudah mengeras secara mandiri.

Oleh dokter gigi, pembersihan karang gigi dapat dilakukan dengan prosedur scaling secara manual atau menggunakan alat ultrasonic scaler.

Sumber: Kompas.com
Halaman 1 dari 4
Rekomendasi untuk Anda
Ikuti kami di

Berita Terkini

© 2025 TRIBUNnews.com Network,a subsidiary of KG Media.
All Right Reserved