TAG
aneh
-
8 Tradisi Paling Aneh dan Mengerikan di Dunia, Bahkan Ada yang Memakan Mayat
Sekilas cukup mengerikan, namun ada makna tersendiri dibalik tradisi yang dijalankan ini.
Selasa, 30 Oktober 2018 -
Coba Temukan Sesuatu yang Janggal Pada 10 Potret Ini, Ada yang Tampak Aneh?
Guys, pernahkah kamu menemukan sesuatu yang salah ketika melihat sebuah gambar?
Sabtu, 6 Oktober 2018 -
7 Kompetisi Teraneh di Dunia, Ada yang Membuat Wajah Terjelek
Ikutilah kompetisi teraneh di dunia ini. Tak cuma aneh, juga butuh keahlian lebih untuk bisa memenangkannya.
Kamis, 23 Agustus 2018 -
Pasar Ini Jual Anak-anak Sampai Gadis yang Siap Dinikahi, Punya Uang Bisa Belanja Sepuasnya
Potongan tubuh manusia yang mengerikan, misalnya, potongan tangan atau kaki yang digantung bebas.
Jumat, 20 Juli 2018 -
Seperti Tak Punya Malu! Inilah 10 Kejadian Aneh di Bandara, Nomor 7 Bikin Ngakak
Tak jarang beberapa kejadian unik terjadi di bandara mulai dari petugas bandara, penumpang yang membawa koper dan masih banyak lagi yang aneh
Senin, 9 Juli 2018 -
Ada Koktail Jari Kaki Manusia sampai Urin Sapi, Ini 7 Minuman Paling Aneh dan Menjijikan di Dunia
Apa yang membuat perjalanan begitu istimewa adalah menjelajahi dan mencoba hal-hal baru yang belum pernah kamu lihat atau lakukan sebelumnya!
Jumat, 15 Juni 2018 -
10 Foto Aneh Ini Buat Orang Bertanya-tanya, Silakan Lihat Sendiri!
Kamu pasti pernah menemukan hal-hal aneh yang membingungkan dalam kehidupan sehari-hari.
Rabu, 13 Juni 2018 -
Waduh! Ini 10 Selfie Teraneh, No 7 Menjijikkan
Tren selfie memang terus bekembang seiring dengan kemajuan teknolohi. Tapi ternyata ada beberapa selfie yang menyembunyikan hal buruk
Selasa, 12 Juni 2018 -
Ada-ada Saja, 5 Pria Ini Miliki Hobi yang Aneh, Ada yang Berhenti Kerja dan Bagi-bagi Uang Tiap Hari
Biasanya orang akan melakukan hobi mereka di saat memiliki waktu luang atau sekadar menambah kreativitas mereka.
Minggu, 10 Juni 2018 -
11 Penemuan Ini Paling Nyeleneh di Dunia Namun Benar Ada, Nomor 8 Tidak Akan Basah
11 penemuan ini mungkin terlihat aneh dan awalnya bikin orang tidak percaya jika ini memang ada atau tidak, tetapi sebenarnya ini adalah nyata.
Minggu, 10 Juni 2018 -
Foto-foto Ini Disebut Membuat Orang Merinding, Berani Lihat ?
Terkadang, sebuah foto sederhana bisa menjadi sangat mengejutkan bahkan membuat merinding. Buktikan jika kamu berani lihat
Sabtu, 9 Juni 2018 -
118 Fakta Aneh di Dunia yang Benar Terjadi, Salah Satu, 100 Orang Meninggal Tertelan Pena Tiap Tahun
22. Mengunyah permen karet saat mengupas bawang akan melindungi Anda dari menangis....
Kamis, 7 Juni 2018 -
Gadis Ini Temukan Batu Aneh di Pantai, Ayahnya Kaget Saat Tahu Apa Isi Dalam Batu Itu
Namun ayahnya yang seorang diver profesional menyadari jika batu yang dibawa anaknya bukan batu biasa.
Rabu, 23 Mei 2018 -
Ini 13 Kejanggalan Dalam Film Kartun yang Sering Terlihat Tapi tak Disadari
Apakah kamu menyadari bahwa film kartun yang kamu tonton dahulu menyimpan banyak kejanggalan-kejanggalan yang sangat tidak logis?
Senin, 14 Mei 2018 -
7 Pekerjaan Aneh di Jepang, No 5 Jadi Teman Tidur Pria, Tahu Gajinya Bikin Melongo!
Negara ini memiliki berbagai jenis lapangan pekerjaan dan mereka tumbuh dengan sangat pesat.
Minggu, 13 Mei 2018 -
Terlihat Biasa Saja, 8 Foto Aneh ini Malah Jadi Bukti Sejarah, No 4 Menyeramkan
Dunia ini menyimpan banyak sekali foto bersejarah yang menjelaskan bagaimana sejarah itu tercipta.
Selasa, 8 Mei 2018 -
(VIDEO) Aneh, Ibu dan Bayi Ajaib Ini Memiliki Selisih Usia Hanya 18 Bulan
Namun ada hal unik dan langka dialami oleh ibu dan bayi dari Tennessee, jarak kelahiran keduanya hanya 18 bulan.
Jumat, 27 April 2018 -
14 Pekerjaan Aneh Ini Benar-benar Ada, Nomor 2 Wanita Rela Tanpa Busana Hanya Untuk Ini
Kalau kamu butuh dipeluk, sekarang sudah ada ahlinya, yaitu adalah pemeluk profesional.....
Sabtu, 21 April 2018 -
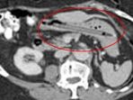
Penyakit Aneh! Tulang-tulang Perempuan Ini Hilang, Begini Akibatnya
Seorang perempuan berusia 44 tahun mendatangi rumah sakit dengan gejala yang membingungkan.
Sabtu, 7 April 2018 -
Anda Phobia? Ini 5 Jenis Phobia yang Paling Aneh, Nomor 3 Tidak Masuk Akal
Perlu diketahui setiap orang memiliki rasa takut yang berlebihan danterkadang tidak masuk akal seperti phobia akan benda atau semacamnya
Selasa, 6 Maret 2018